Răng số 7 bị sâu có nhổ được không?


NHÀ TÀI TRỢ CHÍNH:

* Cung cấp phụ kiện cửa tự động uy tín
* Lắp cửa tự động – Cửa cổng tự động châu âu bảo hành 3 năm
* Công ty lắp đặt Cổng Tự Động tại thành phố Hồ Chí Minh
* Thi công lắp đặt cổng tự động tại hcm
* Đại lý cửa tự động tại Tp. Hồ Chí Minh nhập khẩu chính hãng

Thảo luận trong 'Bí Quyết Làm Đẹp Tại Nhà' bắt đầu bởi anantran112, 26/5/17.

  1. anantran112
    Offline

    anantran112 admin

    (Nhà tài trợ chính: Công ty cua tu dong hcm) -
    Răng số 7 là một trong những chiếc răng quan trọng trên khuôn hàm. Và răng số 7 bị sâu có nhổ được không ? luôn là mối băn khoăn của nhiều người. Nếu như bạn cũng băn khoăn vấn đề này thì hãy tham khảo ngay bài viết này.

    http://cayrangimplant.com.vn/dia-chi-trong-rang-implant-uy-tin-nhat-viet-nam/

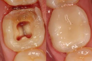
    Răng số 7 bị sâu có nhổ được không cũng cần phải dựa trên căn cứ này. Nếu răng số 7 bị sâu mà mức độ mô răng bị sâu không nhiều thì tốt nhất nên điều trị nạo bỏ mô răng sâu sau đó hàn trám lại nếu được hoặc nếu phần răng sâu bị vỡ mẻ nhiều thì bạn có thể bọc răng sứ lại để phục hồi đồng thời bảo vệ phần mô răng thật còn sót lại. Đây là cách điều trị tốt nhất hiện nay mà bạn cần hướng tới.

    [​IMG]

    Nếu răng số 7 sâu quá nặng, mô răng đã bị phá hủy nghiêm trọng khiến hình thể răng bị biến dạng nhiều thì khi đó có thể nhổ để trồng lại răng mới để tránh ảnh hưởng đến các răng kế cận cũng như xương ổ răng.

    Răng số 7 bị sâu có nhổ được không?

    Muốn xác định được chính xác mức độ sâu răng nặng hay nhẹ cần phải có sự thăm khám của bác sỹ. Chỉ thông qua những quan sát bên ngoài và cảm giác đau thì không thể khẳng định là răng sâu nặng đến mức phải nhổ đi hay không. Lưu ý với bạn răng, răng sâu và bị đau không có nghĩa là răng đã sâu nặng.

    Răng sâu mà không đau cũng không có nghĩa là chỉ sâu ở mức độ nhẹ. Bởi vì đặc điểm sâu răng ở mỗi người khác nhau, chiều hướng phát triển của vết răng sâu cũng khác nhau. Nếu sâu răng lan theo hướng thẳng từ trên xuống tới tủy răng thì nguy cơ bị đau nhức sẽ lớn hơn là khi sâu răng chỉ lan theo chiều rộng ở thân răng.

    Vì thế, dù đều là sâu nặng nhưng muốn biết răng số 7 bị sâu có nhổ được không không thể tùy tiện phán đoán nếu không thăm khám. Hơn nữa bạn còn bị chảy mủ thì có thể là nướu đã bị viêm. Tình trạng này cũng khá nghiêm trọng. Tốt nhất bạn nên đến trực tiếp cơ sở nha khoa uy tín để điều trị sớm. Nếu phải nhổ răng thì đồng thời bác sỹ sẽ điều trị viêm nướu dứt điểm cho bạn.

    Trường hợp bạn muốn trồng răng có thể sẽ phải chờ đợi cho đến khi trị khỏi nướu để tránh ảnh hưởng đến chất lượng ca phục hình. Tốt nhất bạn nên thực hiện trồng răng bằng cách cấy ghép implant bởi với răng số 7 bị mất thì làm cầu răng không hiệu quả khi không có điểm tựa chắc chắn là răng hai bên kế cận để mài cùi làm giá đỡ. Cấy ghép Implant không có tác động đến các răng kế bên mà vẫn đảm bảo hiệu quả bền chắc nhất, hạn chế được tình trạng tiêu xương có thể xảy ra.

    Bạn cũng có thể đến Nha khoa KIM để điều trị. Khi trồng răng, bác sỹ chuyên sâu về Implant sẽ đảm trách toàn bộ và ứng dụng công nghệ trồng răng Implant 4S hiện đại để trồng răng số 7 tốt nhất cho bạn.

    Công nghệ cho phép trồng răng tốt nhất hiện nay, răng bền chắc, ăn nhai như răng thật, có độ trắng sáng và rất tự nhiên. Quá trình phục hình nhẹ nhàng, không gây đau nhức nhiều, trụ răng tích hợp xương và lành thương nhanh chóng.

    Thời gian trồng răng với công nghệ mới cũng được rút ngắn tới 3-4 tuần, giúp bạn tiết kiệm thời gian tối đa.

    Nếu quan tâm, bạn có thể liên hệ về Trung tâm theo số 19006899 để được đặt lịch khám, bác sỹ sẽ cho biết răng số 7 bị sâu có nhổ được không trong trường hợp của bạn.
     

    Nguồn: okmen.edu.vn

Chia sẻ trang này