Can thiệp sớm khi răng cửa mọc thưa


NHÀ TÀI TRỢ CHÍNH:

Hiện tại diễn đàn không cho phép đăng các thông tin về game bài cờ bạc theo yêu cầu của VNNIC mong các bạn thông cảm!

* Cung cấp phụ kiện cửa tự động uy tín
* Lắp cửa tự động – Cửa cổng tự động châu âu bảo hành 3 năm
* Công ty lắp đặt Cổng Tự Động tại thành phố Hồ Chí Minh
* Thi công lắp đặt cổng tự động tại hcm
* Đại lý cửa tự động tại Tp. Hồ Chí Minh nhập khẩu chính hãng

Thảo luận trong 'Thẩm Mỹ Viện' bắt đầu bởi hien93., 9/5/17.

  1. hien93.
    Offline

    hien93. admin

    (Nhà tài trợ chính: Công ty cua tu dong hcm) -
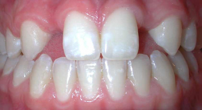
    Răng cửa của bạn bị thưa, răng mọc lệch lạc… không chỉ gây mất thẩm mỹ nụ cười mà còn ảnh hưởng đến tình trạng sức khỏe răng miệng của bạn nếu bạn có hướng can thiệp sớm thì càng dễ dàng cải thiện lại hàm răng của mình hơn. Các bạn có thể niềng răng cửa để có cải thiện lại những chiếc răng cửa trở nên đẹp hơn.

    [​IMG]

    Nhưng có lẽ các bạn cũng thắc mắc tại sao với trường hợp trên lại cần chỉnh càng sớm càng tốt. Chuyện đầu tiên có thể nhận ra dễ dàng chính là khi giao tiếp làm bạn mất đi sự duyên dáng. Điều thứ hai quan trọng hơn đó là với răng cửa thưa, mọc lệch lạc… thì khớp cắn không đúng nên ăn uống thấy khó ăn với thức ăn quá dai và dễ bị thức ăn dính vào kẽ răng. Chính vì vậy sau khi bạn niềng răng xong sẽ thấy khác biệt hoàn toàn so với trước đây. Nhưng niềng răng mắc cài sứ giá bao nhiêu đó là điều khiến nhiều người đang băn khoăn.


    Khi các bạn đã lựa chọn niềng răng thì các bạn chú ý chọn niềng răng ở đâu tốt để có thể yên tâm về tay nghề của bác sĩ. Khi điều trị các bạn sẽ được bác sĩ khám và tư vấn về niềng răng, để thêm chính xác thì nên chụp hình X-quang toàn cảnh để đánh giá tình trạng răng miệng cụ thể. Việc sử dụng máy móc và công nghệ hiện đại chính là sự hỗ trợ cho bác sĩ phân tích đưa ra kết luận chính xác, từ đó mới đưa ra kế hoạch điều trị chi tiết cho bệnh nhân.

    Từ đây có thể thấy răng khi các bạn gặp vấn đề về răng miệng nên đi tới nha khoa để khám và có can thiệp sớm để đảm bảo sức khỏe tốt và vẫn giữ được sự duyên dáng trẻ đẹp từ hàm răng chắc đều.


    TG: NH
     

    Nguồn: okmen.edu.vn

Chia sẻ trang này